terunik teraneh terselubung blogspot.com terlucu menarik di dunia tapi nyata dan terlangka aneh22 video gambar ajaib bin ajaib kau tuhan sungguh penuh kuasa unik77.tk unik4u unic77.tk gokil extreme medis kriminal arkeologi antariksa UFO dinosaurus kita flora fauna misteri bumi militer hiburan ekonomi bahasa teknologi sejarah politik tokoh hukum mumi rumor motivasi moral hewan tumbuhan tips trick kuliner otomotif pendidikan galleri musik sms hantu wallpaper artis indonesia foto hot syur panas download

>10.000 artikel menarik ada disini,silahkan cari:

Benda Benda Asing di Dalam Perut Anjing

Garpu


Bebatuan


Boneka Bebek


Anak Panah Mainan


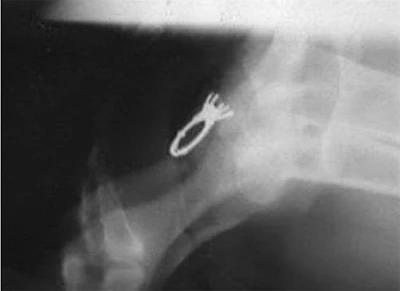
Mata Kail


Boneka Homer Simpson


Tongkat


Pisau


MainanTongkat sihir


Cincin


Bola


Paku


Handphond


9 Bola Golf Dan Sebuah Peluru


Tutup Botol,Sobekan Bola Basket dan dot bayi


Boneka Anjing

Tidak ada komentar: